Antigen
MYC
Isotype
IgG
(17)
IgG1
(1)
Reactivity
Human
(18)
Mouse
(16)
Rat
(16)
Clonality
Polyclonal
(17)
Monoclonal
(2)
Application
ELISA
(17)
Western Blotting
(16)
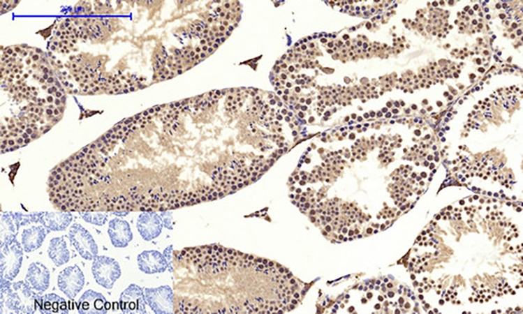
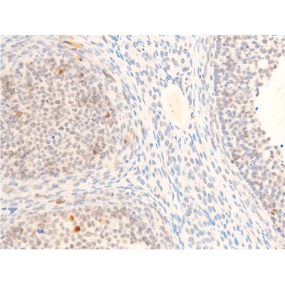
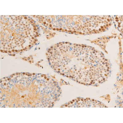
IHC-P
(9)
Immunohistochemistry
(5)
Immunoprecipitation
(4)
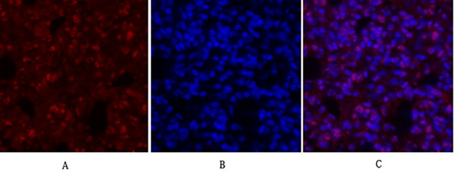
Immunofluorescence
(3)
Supplier
Abbkine Scientific Co., Ltd.
(10)
Affinity Biosciences
(8)
GenomeMe
(1)
Host
Rabbit
(17)
Mouse
(2)
Sort
Antigen:
Myc proto-oncogene protein
Synonyms: Class E basic helix-loop-helix protein 39; Proto-oncogene c-Myc; Transcription factor p64; MYC_HUMAN; A8WFE7; P01106; P01107; Q14026
Host:Rabbit
Reactivity:Human; Mouse; Rat
Application:Western Blotting; Immunohistochemistry; ELISA
Isotype:IgG
Clonality:Polyclonal
Aliases:AU016757; Avian myelocytomatosis viral oncogene homolog; bHLHe39; c Myc; Class E basic helix-loop-helix protein 39; MRTL; Myc; Myc protein; Myc proto oncogene protein; Myc proto-oncogene protein; myc-related translation/localization regulatory factor; MYC_HUMAN; Myc2; MYCC; Myelocytomatosis oncogene; Niard; Nird; Oncogene Myc; OTTHUMP00000158589; Proto-oncogene c-Myc; Protooncogene homologous to myelocytomatosis virus; RNCMYC; Transcription factor p64; Transcriptional regulator Myc-A; V-Myc avian myelocytomatosis viral oncogene homolog; v-myc myelocytomatosis viral oncogene homolog (avian)
100μl$280.00
200μl$350.00
Antigen:
Myc proto-oncogene protein
Synonyms: Class E basic helix-loop-helix protein 39; Proto-oncogene c-Myc; Transcription factor p64; MYC_HUMAN; A8WFE7; P01106; P01107; Q14026
Host:Rabbit
Reactivity:Human; Mouse; Rat
Application:Western Blotting; Immunohistochemistry; Immunoprecipitation; ELISA
Isotype:IgG
Clonality:Polyclonal
Aliases:AU016757; Avian myelocytomatosis viral oncogene homolog; bHLHe39; c Myc; Class E basic helix-loop-helix protein 39; MRTL; Myc; Myc protein; Myc proto oncogene protein; Myc proto-oncogene protein; myc-related translation/localization regulatory factor; MYC_HUMAN; Myc2; MYCC; Myelocytomatosis oncogene; Niard; Nird; Oncogene Myc; OTTHUMP00000158589; Proto-oncogene c-Myc; Protooncogene homologous to myelocytomatosis virus; RNCMYC; Transcription factor p64; Transcriptional regulator Myc-A; V-Myc avian myelocytomatosis viral oncogene homolog; v-myc myelocytomatosis viral oncogene homolog (avian)
100μl$280.00
200μl$350.00
Antigen:
Myc proto-oncogene protein
Synonyms: Class E basic helix-loop-helix protein 39; Proto-oncogene c-Myc; Transcription factor p64; MYC_HUMAN; A8WFE7; P01106; P01107; Q14026
Host:Rabbit
Reactivity:Human; Mouse; Rat
Application:Western Blotting; Immunohistochemistry; ELISA
Isotype:IgG
Clonality:Polyclonal
Aliases:AU016757; Avian myelocytomatosis viral oncogene homolog; bHLHe39; c Myc; Class E basic helix-loop-helix protein 39; MRTL; Myc; Myc protein; Myc proto oncogene protein; Myc proto-oncogene protein; myc-related translation/localization regulatory factor; MYC_HUMAN; Myc2; MYCC; Myelocytomatosis oncogene; Niard; Nird; Oncogene Myc; OTTHUMP00000158589; Proto-oncogene c-Myc; Protooncogene homologous to myelocytomatosis virus; RNCMYC; Transcription factor p64; Transcriptional regulator Myc-A; V-Myc avian myelocytomatosis viral oncogene homolog; v-myc myelocytomatosis viral oncogene homolog (avian)
100μl$280.00
200μl$350.00
Antigen:
Myc proto-oncogene protein
Synonyms: Class E basic helix-loop-helix protein 39; Proto-oncogene c-Myc; Transcription factor p64; MYC_HUMAN; A8WFE7; P01106; P01107; Q14026
Host:Rabbit
Reactivity:Human; Mouse; Rat
Application:Western Blotting; Immunohistochemistry; ELISA
Isotype:IgG
Clonality:Polyclonal
Aliases:AU016757; Avian myelocytomatosis viral oncogene homolog; bHLHe39; c Myc; Class E basic helix-loop-helix protein 39; MRTL; Myc; Myc protein; Myc proto oncogene protein; Myc proto-oncogene protein; myc-related translation/localization regulatory factor; MYC_HUMAN; Myc2; MYCC; Myelocytomatosis oncogene; Niard; Nird; Oncogene Myc; OTTHUMP00000158589; Proto-oncogene c-Myc; Protooncogene homologous to myelocytomatosis virus; RNCMYC; Transcription factor p64; Transcriptional regulator Myc-A; V-Myc avian myelocytomatosis viral oncogene homolog; v-myc myelocytomatosis viral oncogene homolog (avian)
100μl$280.00
200μl$350.00
Antigen:
Myc proto-oncogene protein
Synonyms: Class E basic helix-loop-helix protein 39; Proto-oncogene c-Myc; Transcription factor p64; MYC_HUMAN; A8WFE7; P01106; P01107; Q14026
Host:Rabbit
Reactivity:Human; Mouse; Rat
Application:Western Blotting; Immunohistochemistry; ELISA
Isotype:IgG
Clonality:Polyclonal
Aliases:AU016757; Avian myelocytomatosis viral oncogene homolog; bHLHe39; c Myc; Class E basic helix-loop-helix protein 39; MRTL; Myc; Myc protein; Myc proto oncogene protein; Myc proto-oncogene protein; myc-related translation/localization regulatory factor; MYC_HUMAN; Myc2; MYCC; Myelocytomatosis oncogene; Niard; Nird; Oncogene Myc; OTTHUMP00000158589; Proto-oncogene c-Myc; Protooncogene homologous to myelocytomatosis virus; RNCMYC; Transcription factor p64; Transcriptional regulator Myc-A; V-Myc avian myelocytomatosis viral oncogene homolog; v-myc myelocytomatosis viral oncogene homolog (avian)
100μl$280.00
200μl$350.00
Antigen:
Myc proto-oncogene protein
Synonyms: Class E basic helix-loop-helix protein 39; Proto-oncogene c-Myc; Transcription factor p64; MYC_HUMAN; A8WFE7; P01106; P01107; Q14026
Host:Rabbit
Reactivity:Human; Mouse; Rat
Application:Western Blotting; ELISA
Isotype:IgG
Clonality:Polyclonal
Aliases:AU016757; Avian myelocytomatosis viral oncogene homolog; bHLHe39; c Myc; Class E basic helix-loop-helix protein 39; MRTL; Myc; Myc protein; Myc proto oncogene protein; Myc proto-oncogene protein; myc-related translation/localization regulatory factor; MYC_HUMAN; Myc2; MYCC; Myelocytomatosis oncogene; Niard; Nird; Oncogene Myc; OTTHUMP00000158589; Proto-oncogene c-Myc; Protooncogene homologous to myelocytomatosis virus; RNCMYC; Transcription factor p64; Transcriptional regulator Myc-A; V-Myc avian myelocytomatosis viral oncogene homolog; v-myc myelocytomatosis viral oncogene homolog (avian)
50μl$250.00
100μl$350.00
200μl$450.00
Antigen:
Myc proto-oncogene protein
Synonyms: Class E basic helix-loop-helix protein 39; Proto-oncogene c-Myc; Transcription factor p64; MYC_HUMAN; A8WFE7; P01106; P01107; Q14026
Host:Mouse
Reactivity:Human
Application:Western Blotting; ELISA
Isotype:IgG1
Clonality:Monoclonal
Aliases:AU016757; Avian myelocytomatosis viral oncogene homolog; bHLHe39; c Myc; Class E basic helix-loop-helix protein 39; MRTL; Myc; Myc protein; Myc proto oncogene protein; Myc proto-oncogene protein; myc-related translation/localization regulatory factor; MYC_HUMAN; Myc2; MYCC; Myelocytomatosis oncogene; Niard; Nird; Oncogene Myc; OTTHUMP00000158589; Proto-oncogene c-Myc; Protooncogene homologous to myelocytomatosis virus; RNCMYC; Transcription factor p64; Transcriptional regulator Myc-A; V-Myc avian myelocytomatosis viral oncogene homolog; v-myc myelocytomatosis viral oncogene homolog (avian)
50μl$250.00
100μl$350.00
200μl$450.00
Antigen:
Myc proto-oncogene protein
Synonyms: Class E basic helix-loop-helix protein 39; Proto-oncogene c-Myc; Transcription factor p64; MYC_HUMAN; A8WFE7; P01106; P01107; Q14026
Host:Rabbit
Reactivity:Human; Mouse; Rat
Application:Western Blotting; ELISA
Isotype:IgG
Clonality:Polyclonal
Aliases:AU016757; Avian myelocytomatosis viral oncogene homolog; bHLHe39; c Myc; Class E basic helix-loop-helix protein 39; MRTL; Myc; Myc protein; Myc proto oncogene protein; Myc proto-oncogene protein; myc-related translation/localization regulatory factor; MYC_HUMAN; Myc2; MYCC; Myelocytomatosis oncogene; Niard; Nird; Oncogene Myc; OTTHUMP00000158589; Proto-oncogene c-Myc; Protooncogene homologous to myelocytomatosis virus; RNCMYC; Transcription factor p64; Transcriptional regulator Myc-A; V-Myc avian myelocytomatosis viral oncogene homolog; v-myc myelocytomatosis viral oncogene homolog (avian)
50μl$250.00
100μl$350.00
200μl$450.00
c-Myc
$190.00
Antigen:
Myc proto-oncogene protein
Synonyms: Class E basic helix-loop-helix protein 39; Proto-oncogene c-Myc; Transcription factor p64; MYC_HUMAN; A8WFE7; P01106; P01107; Q14026
Host:Mouse
Clonality:Monoclonal
Positive control:Breast Carcinoma
Dilution range:1:100 - 1:200
0.1ml C
GenomeMe
IHC548
IHC548-1000.1ml C$190.00
IHC548-11ml C$1,105.00
IHC548-77ml P$245.00
Antigen:
Myc proto-oncogene protein
Synonyms: Class E basic helix-loop-helix protein 39; Proto-oncogene c-Myc; Transcription factor p64; MYC_HUMAN; A8WFE7; P01106; P01107; Q14026
Host:Rabbit
Reactivity:Human; Mouse; Rat
Application:IHC-P; Immunoprecipitation; ELISA
Isotype:IgG
Clonality:Polyclonal
30μl$100.00
100μl$220.00
200μl$360.00
Antigen:
Myc proto-oncogene protein
Synonyms: Class E basic helix-loop-helix protein 39; Proto-oncogene c-Myc; Transcription factor p64; MYC_HUMAN; A8WFE7; P01106; P01107; Q14026
Host:Rabbit
Reactivity:Human; Mouse; Rat
Application:IHC-P; Immunoprecipitation; ELISA
Isotype:IgG
Clonality:Polyclonal
30μl$100.00
100μl$220.00
200μl$360.00
Antigen:
Myc proto-oncogene protein
Synonyms: Class E basic helix-loop-helix protein 39; Proto-oncogene c-Myc; Transcription factor p64; MYC_HUMAN; A8WFE7; P01106; P01107; Q14026
Host:Rabbit
Reactivity:Human; Mouse; Rat
Application:Western Blotting; IHC-P; ELISA
Isotype:IgG
Clonality:Polyclonal
30μl$100.00
100μl$220.00
200μl$360.00
Antigen:
Myc proto-oncogene protein
Synonyms: Class E basic helix-loop-helix protein 39; Proto-oncogene c-Myc; Transcription factor p64; MYC_HUMAN; A8WFE7; P01106; P01107; Q14026
Host:Rabbit
Reactivity:Human; Mouse; Rat
Application:Western Blotting; IHC-P; ELISA
Isotype:IgG
Clonality:Polyclonal
30μl$100.00
100μl$220.00
200μl$360.00
Antigen:
Myc proto-oncogene protein
Synonyms: Class E basic helix-loop-helix protein 39; Proto-oncogene c-Myc; Transcription factor p64; MYC_HUMAN; A8WFE7; P01106; P01107; Q14026
Host:Rabbit
Reactivity:Human; Mouse; Rat
Application:Western Blotting; IHC-P; ELISA
Isotype:IgG
Clonality:Polyclonal
30μl$100.00
100μl$220.00
200μl$360.00
Antigen:
Myc proto-oncogene protein
Synonyms: Class E basic helix-loop-helix protein 39; Proto-oncogene c-Myc; Transcription factor p64; MYC_HUMAN; A8WFE7; P01106; P01107; Q14026
Host:Rabbit
Reactivity:Human; Mouse; Rat
Application:Western Blotting; IHC-P; Immunofluorescence; ELISA
Isotype:IgG
Clonality:Polyclonal
30μl$100.00
100μl$220.00
200μl$360.00
Antigen:
Myc proto-oncogene protein
Synonyms: Class E basic helix-loop-helix protein 39; Proto-oncogene c-Myc; Transcription factor p64; MYC_HUMAN; A8WFE7; P01106; P01107; Q14026
Host:Rabbit
Reactivity:Human; Mouse; Rat
Application:Western Blotting; IHC-P; Immunofluorescence; ELISA
Isotype:IgG
Clonality:Polyclonal
30μl$100.00
100μl$220.00
200μl$360.00
Antigen:
Myc proto-oncogene protein
Synonyms: Class E basic helix-loop-helix protein 39; Proto-oncogene c-Myc; Transcription factor p64; MYC_HUMAN; A8WFE7; P01106; P01107; Q14026
Host:Rabbit
Reactivity:Human
Application:Western Blotting
Isotype:IgG
Clonality:Polyclonal
30μl$100.00
100μl$220.00
200μl$360.00
Antigen:
Myc proto-oncogene protein
Synonyms: Class E basic helix-loop-helix protein 39; Proto-oncogene c-Myc; Transcription factor p64; MYC_HUMAN; A8WFE7; P01106; P01107; Q14026
Host:Rabbit
Reactivity:Human; Mouse; Rat
Application:Western Blotting; IHC-P; Immunoprecipitation; ELISA
Isotype:IgG
Clonality:Polyclonal
30μl$100.00
100μl$220.00
200μl$360.00
Antigen:
Myc proto-oncogene protein
Synonyms: Class E basic helix-loop-helix protein 39; Proto-oncogene c-Myc; Transcription factor p64; MYC_HUMAN; A8WFE7; P01106; P01107; Q14026
Host:Rabbit
Reactivity:Human; Mouse; Rat
Application:Western Blotting; IHC-P; Immunofluorescence; ELISA
Isotype:IgG
Clonality:Polyclonal
30μl$100.00
100μl$220.00
200μl$360.00